CAN THO CITY DEPARTMENT OF SCIENCE AND TECHNOLOGY
Next news
27/05/2020 17:08
Các nhà khoa học của Phòng thí nghiệm quốc gia Lawrence Livermore (LLNL) đã tiến một bước dài trong việc thiết kế các vật liệu tương lai với hiệu suất được cải thiện bằng cách phân tích cấu trúc vi mô của nó bằng AI.
26/05/2020 11:22
Nghiên cứu được công bố trên tạp chí học thuật Nature vào ngày 20 tháng 5 năm 2020, một nhóm các nhà nghiên cứu từ Hoa Kỳ và Hồng Kông, Trung Quốc giới thiệu một nguyên mẫu mắt bionic bắt chước mắt người cả về hình dạng và chức năng.
25/05/2020 16:34
Kỹ sư dân sự của của Đại học UTA dẫn đầu các dự án và thành phố Coppell để kiểm tra đường ống thoát nước.
25/05/2020 15:21
Được thúc đẩy bởi đại dịch COVID-19, các nhà nghiên cứu của Princeton đã phát triển một công cụ chẩn đoán để phân tích tia X ngực cho phổi bị bệnh. Công cụ mới này có thể cung cấp cho bác sĩ thông tin có giá trị về tình trạng bệnh nhân, nhanh chóng và rẻ tiền.
20/05/2020 17:04
Các nhà nghiên cứu của Phòng thí nghiệm quốc gia Oak Ridge đã phát triển một màng mỏng, chất điện phân ở trạng thái rắn dẫn điện cao làm từ hỗn hợp polymer và gốm dựa trên pin kim loại lithium.
18/05/2020 16:56
Hạn chế sự bất tiện của in 3D: Các đối tượng in phải nhỏ hơn máy tạo ra chúng. Những cỗ máy khổng lồ là không thực tế để in các bộ phận lớn vì chúng chiếm quá nhiều không gian và đòi hỏi quá nhiều thời gian để in.
18/05/2020 15:39
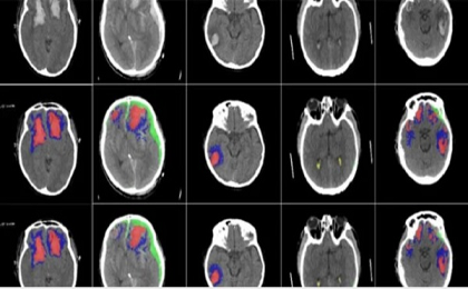
Các nhà nghiên cứu đã phát triển một thuật toán AI có thể phát hiện và xác định các loại chấn thương trong não.
11/05/2020 15:17
Khi công nghệ phát triển và xã hội tiến bộ, chúng ta sẽ phải tìm cách cải thiện phương pháp giảng dạy. Hệ thống gia sư thông minh có thể rất hữu ích, bởi vì chúng giúp sinh viên và giáo viên dễ dàng theo dõi tiến trình. Tuy nhiên, họ cần nhiều lao động để tạo ra. Trí tuệ nhân tạo như các nhà nghiên cứu tại Đại học Carnegie Mellon đã chứng minh.
12/05/2020 09:37
Trí tuệ nhân tạo (AI) cực kỳ đói năng lượng. Trên thực tế, các hệ thống mạnh hơn đòi hỏi phần mềm chạy trên hàng ngàn máy tính, chúng tiêu hao hết năng lượng mà ba nhà máy điện hạt nhân tạo ra trong một giờ. Điều này là do phần lớn tải năng lượng nằm trên phần mềm, nhưng các nhà khoa học từ Đại học Purdue đang tạo ra các phần cứng có thể làm giảm mức tiêu thụ năng lượng của AI.
11/05/2020 16:30
Hiện nay, các nhà khoa học tại Đại học Montréal đã tìm ra cách sử dụng vàng thật - dưới dạng hạt nano để nhanh chóng tìm ra mùi vị của xi-rô.
11/05/2020 14:55
Gần đây, Văn phòng Bằng sáng chế và Nhãn hiệu Hoa Kỳ (USPTO) đã đưa ra quyết định rằng các nền tảng tự động dựa trên thuật toán trí tuệ nhân tạo không thể được xem là nhà phát minh hợp pháp trong đơn đăng ký sáng chế hoặc trong các khiếu nại tương tự.
07/05/2020 16:05
Nghiên cứu quốc tế được đồng sáng lập bởi nhà nghiên cứu nhi khoa, là một trong ba dự án được tài trợ từ sáng kiến AI mới của Canada và Anh.
07/05/2020 16:26
Trí tuệ nhân tạo (AI) có thể cải thiện khá nhiều thứ. Nó đã được sử dụng bởi các trợ lý ảo, dịch thuật trực tuyến, nghiên cứu khoa học, phân tích dữ liệu và cấu hình lại, tiếp thị từ xa và hàng trăm lĩnh vực khác. Tuy nhiên, nó cũng có thể cải thiện cách chế biến cá?
07/05/2020 17:08
Trong tương lai, có thể thấy một robot tự động có kích thước của một máy cắt cỏ lớn tự lái quanh các cánh đồng của người chăn nuôi bò sữa hữu cơ. Ở đây, nó sẽ tìm kiếm cỏ và loại bỏ chúng.
08/05/2020 11:06
Hệ thống giám sát mới và đột phá sử dụng trí tuệ nhân tạo và công nghệ không dây để theo dõi bệnh nhân sẽ giúp ngăn ngừa sự lây lan của virus corona.
Trang: Đầu Trước ... 12 13 14 15 16 17 18 19 20 21 22 23 24 25 26 27 28 29 30 31 32 Sau

Developing Thoi Hung custard apple brand, Co Do district, Can Tho city

Can Tho City Department of Science and Technology organized a Mid-term Evaluation Council for the science and technology task of developing the Thoi Hung Soursop Brand, Co Do District, Can Tho City. The Council was presided by Dr. Ngo Anh Tin - Director of the Department of Science and Technology. The study was carried by Nguyen Khac Phi - Branch of Investip Industrial Property Joint Stock Company (Hanoi City), and Tran Thi Thien Thu - Can Tho City Farmers' Association.

Current status and solutions for developing smart tourism systems to attract tourists to Can Tho city - Strategic direction for tourism industry in the digital age

In the afternoon of June 5, 2025, Can Tho City Department of Science and Technology held a meeting of the City-level Council for the acceptance evaluation of the social science project "Current status and solutions for developing a smart tourism system to attract tourists to Can Tho City". Dr. Ngo Anh Tin - Director of Can Tho City Department of Science and Technology was the Chairman of the Council. The project was carried out by Prof. Dr. Ha Nam Khanh Giao; Vietnam Aviation Academy was an implementing unit.

Conference to discuss the organizational arrangement of the Department of Science and Technology when merging Can Tho City, Soc Trang Province, and Hau Giang Province

In the afternoon of May 29, 2025, leaders of Departments of Science and Technology of Can Tho City and Hau Giang and Soc Trang provinces had a meeting to discuss plans to rearrange and reorganize the apparatus of the Department of Science and Technology after merging and consolidating the areas of these three localities.

Selection of scientific and technological project "Research on microbial preparations to decompose starch or food additives sodium benzoate in wastewater"

In the morning of May 29, 2025, Can Tho City Department of Science and Technology held a meeting of the Council for selecting organizations and individuals to preside over the city-level science and technology project "Research on microbial preparations to decompose starch or food additives sodium benzoate in wastewater.” The study will be carried by Dr. Nguyen Thi Phi Oanh. Can Tho University is an implementing agency.

Evaluation and acceptance of the scientific and technological project "Research on diversifying processed products from jackfruit (Artocarpus heterophyllus LAM)"

In the afternoon of May 27, 2025, Can Tho City Department of Science and Technology held a meeting of the Advisory Council to evaluate and accept the results of the implementation of the scientific and technological project "Research on diversifying processed products from jackfruit (Artocarpus heterophyllus Lam)." The project was carried out by Associate Professor, Dr. Bach Long Giang. Nguyen Tat Thanh University was an implementing agency; Science and Technology Advances Application Center, Vietnam - Korea Industrial Technology Incubator were coordinating units.

Danh sách Doanh nghiệp khoa học và công nghệ

Sở Khoa học và Công nghệ thành phố Cần Thơ thông báo danh sách Doanh nghiệp khoa học và công nghệ.

Chương trình hành động của Bộ KH&CN 2020: Tiếp tục đẩy mạnh hoạt động hỗ trợ doanh nghiệp

Vấn đề nâng cao năng suất chất lượng, cải thiện môi trường kinh doanh, nâng cao năng lực cạnh tranh quốc gia tiếp tục được Bộ KH&CN đưa vào Chương trình hành động năm 2020.

Enhancing teaching and learning capacity through artificial intelligence

In the morning of May 30 in Hanoi, the United Nations Children's Fund (UNICEF), the Ministry of Education and Training, the National Innovation Center (NIC) and STEAM for Vietnam held a National Forum on Artificial Intelligence in Education, with the theme "Promoting innovation: Enhancing teaching and learning capacity through AI".

Hai Phong promoted connection between technology supply and demand

In the morning of May 30, Hai Phong Department of Science and Technology organized a session connecting technology supply and demand among research institutions and businesses inside and outside the city.

Building AI human resources

Ho Chi Minh City is actively promoting digital transformation and applying artificial intelligence (AI) to build a smart city. However, the city's AI human resources are still limited in quantity and quality, with only about 1,000 graduates from 14 related training programs.

Applying AI to solve administrative procedures

The implementation of Hanoi's Public Administration Service Center aims to transform the management model to non-administrative boundaries by establishing branches in large districts.

CAN THO CITY DEPARTMENT OF SCIENCE AND TECHNOLOGY

Copyright @ 2021 belongs to the Can Tho City Department of Science and Technology
Address: No. 02, Ly Thuong Kiet, Ninh Kieu Ward, Can Tho City
Phone: 0292.3820674, Fax: 0292.3821471; Email: sokhcn@cantho.gov.vn
Head of the Editorial Board: Mr. Tran Dong Phuong An - Deputy Director of the
Can Tho City Department of Science and Technology

Copyright © 2021 All rights reserved | This template is made by CASTI'1987