Sử dụng AI để xác định các loại chấn thương não
Các nhà nghiên cứu đã phát triển một thuật toán AI có thể phát hiện và xác định các loại chấn thương trong não.
.jpg)
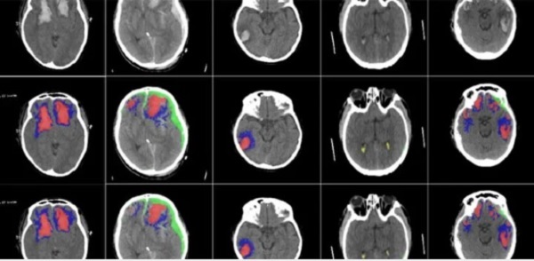
Các nhà nghiên cứu, từ Đại học Cambridge và Đại học Hoàng gia Luân Đôn, đã xác nhận lâm sàng và thử nghiệm AI trên các bộ quét CT lớn và thấy rằng Al có thể phát hiện, phân đoạn, định lượng và phân biệt các loại tổn thương khác nhau trong não.
Kết quả nghiên cứu được đăng trên tạp chí The Lancet Digital Health. Nghiên cứu có thể hữu ích trong các nghiên cứu quy mô lớn để phát triển các phương pháp điều trị cho chấn thương đầu và xác nhận thêm có thể hữu ích trong một số tình huống lâm sàng, như những chuyên gia về X quang.
Chấn thương đầu là một gánh nặng lớn cho cộng đồng trên toàn thế giới và ảnh hưởng đến 60 triệu người mỗi năm. Nó là nguyên nhân hàng đầu gây tử vong ở người trẻ tuổi. Khi một bệnh nhân bị chấn thương đầu, họ thường được chụp CT để kiểm tra máu ở trong hoặc xung quanh não, và để giúp xác định xem có cần phẫu thuật hay không.
Các loại máu khác nhau trong hoặc xung quanh não có thể cho kết quả khác nhau ở bệnh nhân và các bác sĩ X quang thường sẽ đưa ra ước tính để xác định liệu trình điều trị tốt nhất cho bệnh nhân.
Các nhà nghiên cứu đã phát triển một công cụ học máy học dựa trên mạng lưới thần kinh nhân tạo. Họ đã đào tạo công cụ này trên hơn 600 lần chụp CT khác nhau, cho thấy các tổn thương não có kích cỡ và các loại khác nhau. Sau đó, họ xác nhận công cụ trên một bộ dữ liệu lớn về quét CT.
AI có thể phân loại từng phần riêng lẻ của mỗi hình ảnh và cho biết nó có bình thường hay không. Điều này có thể có ích cho các nghiên cứu trong tương lai về cách tiến triển của chấn thương đầu, vì AI có thể phù hợp hơn so với con người trong việc phát hiện những thay đổi tinh tế theo thời gian.
Mặc dù các nhà nghiên cứu có kế hoạch chỉ sử dụng AI cho nghiên cứu, họ cho biết với xác nhận hợp lệ, nó cũng có thể được sử dụng trong một số tình huống lâm sàng nhất định, chẳng hạn như trong các khu vực hạn chế về tài nguyên, nơi có ít bác sĩ X quang.
Ngoài ra, các nhà nghiên cứu cho rằng Al có thể có tiềm năng sử dụng trong phòng cấp cứu, giúp đưa bệnh nhân về nhà sớm hơn. Trong số tất cả các bệnh nhân bị chấn thương đầu, chỉ có từ 10 đến 15% có tổn thương có thể nhìn thấy khi chụp CT. AI có thể giúp xác định những bệnh nhân này cần điều trị thêm, vì vậy những người không bị tổn thương não có thể được về nhà, mặc dù sử dụng bất kỳ công cụ lâm sàng nào cũng cần phải được xác nhận kỹ lưỡng.
Khả năng tự động phân tích các bộ dữ liệu lớn cũng sẽ cho phép các nhà nghiên cứu giải quyết các câu hỏi nghiên cứu lâm sàng quan trọng mà trước đây rất khó trả lời, bao gồm cả việc xác định các tính năng liên quan đến tiên lượng có thể giúp điều trị bằng liệu pháp.
ctngoc